En mijn vermoedens zijn bevestigd.... mijn meisie wordt MAMA
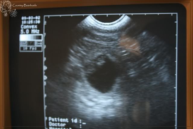
We hebben geprobeert te tellen, maar de printer was kapot van het apparaat en als ik echt zekerheid wil hebben van het aantal dan moet ik een rontgenfoto laten maken.. maar dit vond ik nou niet echt nodig.. !! Het moet ook een beetje spannend blijven het weekend van 4 april...
Maar we hebben er 8 voorbij zien glippen op de echo
maar wat ik altijd al zeg.. of het er nu 6 , 8 of 10 zijn ( of meer ) het belangrijkste vind ik dat het goed blijft gaan met Maisey Hier wat foto's van de echo..

















