Ster topic:
Kijk je naar goedkopere alternatieven voor je hond nu alle de prijzen zo uit de bocht vliegen?
Ster topic! Klik hier om te reageren
Ben je nieuw en wil je een account maken? Klik hier!
Een (zeer) beknopte handleiding voor nieuwe leden vind je hier: Klik!
Het hondenforum team stelt zich hier voor: Klik!
Laatste wijziging 23-03-2022
Wil je deze forummededeling niet meer zien? klik dan rechtsboven in dit vak
Kijk je naar goedkopere alternatieven voor je hond nu alle de prijzen zo uit de bocht vliegen?
Ster topic! Klik hier om te reageren
Ben je nieuw en wil je een account maken? Klik hier!
Een (zeer) beknopte handleiding voor nieuwe leden vind je hier: Klik!
Het hondenforum team stelt zich hier voor: Klik!
Laatste wijziging 23-03-2022
Wil je deze forummededeling niet meer zien? klik dan rechtsboven in dit vak
bijna bevallen
Moderator: moderatorteam
- elly17
- Vaste gebruiker
- Berichten: 38
- Lid geworden op: 20 apr 2012 11:22
- Mijn ras(sen): bordeauxdoggen geweldige honden
- Aantal honden: 2
bijna bevallen
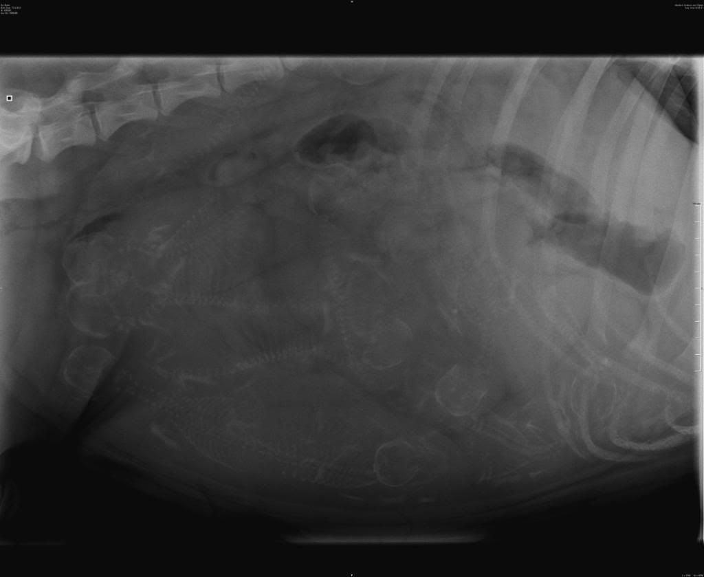
balou zit vandaag op 55 dagen dus de bevalling zit er aan te komen gister rx laten maken dokter zegt 10 ik denk zelf 12 mijn vraag aan jullie hoeveel zien jullie er .
Laatst gewijzigd door elly17 op 02 mei 2012 11:15, 2 keer totaal gewijzigd.
- roes
- Vaste gebruiker
- Berichten: 82
- Lid geworden op: 26 apr 2011 14:22
- Mijn ras(sen): Nova Scotia Duck Tolling Retriever
- Locatie: Bellingwolde
- Contacteer:
Re: bijna bevallen
Volgens mij tel ik 12 schedeltjes ... de 11 die aangekruist zijn en bovenin ligt er nog 1.
Succes !
Succes !
roes is a state of mind
-
empyree
- Zeer actief
- Berichten: 3236
- Lid geworden op: 27 okt 2005 15:04
- Mijn ras(sen): Newfoundlander/Grand Basset Griffon Vendéen/Lagotto Romagnolo
- Aantal honden: 5
- Locatie: Puy-de-Dôme (FR)
- Contacteer:
- elly17
- Vaste gebruiker
- Berichten: 38
- Lid geworden op: 20 apr 2012 11:22
- Mijn ras(sen): bordeauxdoggen geweldige honden
- Aantal honden: 2
Re: bijna bevallen
ik heb de 12 gezien hij zegt dat hij er maar 10 kan tellen vandaar dat ik het hier vraag zet de foto er wel even op zonder de streepjes van mij er ligt er 1 tegen haar ruggengraat aan dat is wat roes al zij .


- elly17
- Vaste gebruiker
- Berichten: 38
- Lid geworden op: 20 apr 2012 11:22
- Mijn ras(sen): bordeauxdoggen geweldige honden
- Aantal honden: 2
Re: bijna bevallen
ze is trouwens in totaal tot nu toe 12 kilo aangekomen ze is tonnetje rond .
- elly17
- Vaste gebruiker
- Berichten: 38
- Lid geworden op: 20 apr 2012 11:22
- Mijn ras(sen): bordeauxdoggen geweldige honden
- Aantal honden: 2
Re: bijna bevallen
hierbij een foto van vandaag




- dogluna
- Zeer actief
- Berichten: 2201
- Lid geworden op: 23 apr 2002 01:46
- Mijn ras(sen): De Duitse Dog
- Locatie: lelystad
Re: bijna bevallen
Een ding is zeker,het is er erg druk daar binnen,succes met de bevalling

Groetjes van Ans en een doggenlebber van Lotte en Guus
Luna 25-11-1999-28-12-2006 Dimple 22-11-2000_ 07-05-2009 Voor altijd in mijn hart
- laura b
- Zeer actief
- Berichten: 5273
- Lid geworden op: 19 sep 2008 09:11
- Mijn ras(sen): Ruwhaar Standaard Teckel
- Aantal honden: 1
- Locatie: Brabant
Re: bijna bevallen
Ik denk er ook 12 te zien. Succes met de naderende bevalling!
- nelleke
- Zeer actief
- Berichten: 5086
- Lid geworden op: 04 dec 2011 14:32
- Mijn ras(sen): langhaar duitse herder en een kater
- Aantal honden: 1
- Locatie: voorburg
Re: bijna bevallen
Veel succes met de bevalling. Dat het heel voorspoedig mag gaan.

Neeltje
- ** Angela **
- Zeer actief
- Berichten: 8649
- Lid geworden op: 11 aug 2008 15:08
- Mijn ras(sen): Duitse herder
- Aantal honden: 3
Re: bijna bevallen
Ik zie er ook 12 , al twijfel ik eraan of ik een 13e zie of dat t wat anders is.
Wel ontzettend leuk om te zien zo , het lijken net van die babykikkertjes zeg maar
Wel ontzettend leuk om te zien zo , het lijken net van die babykikkertjes zeg maar
Many people walk in and out our lives, but only true friends leave footprints
- Gon
- Zeer actief
- Berichten: 3783
- Lid geworden op: 15 aug 2011 10:10
- Mijn ras(sen): Kruising boomer. mopshond
- Aantal honden: 1
- Locatie: Friesland
Re: bijna bevallen
Het zijn er in ieder geval heel veel
, ik denk ook aan 12 . Wat een lieve foto's trouwens, 2 dikke maatjes
Succes met de bevalling!
Succes met de bevalling!
Groetjes van Gon, Famke, en poezebeest Ayla, een kleine doerak...


- joyjill
- Actief
- Berichten: 124
- Lid geworden op: 29 jul 2010 22:08
- Mijn ras(sen): tervuerenseherder
- Aantal honden: 1
- Locatie: gelderland
- Contacteer:
- Flevo Bordertje
- Zeer actief
- Berichten: 5513
- Lid geworden op: 11 okt 2010 20:15
- Mijn ras(sen): Border terrier, terriërkruising en X wolfsgrijze keeshond/eurasiër
- Aantal honden: 3
Re: bijna bevallen
Wauw, een volle boel daar binnen
Heel veel succes met de komende bevalling 
-
Charissa
- Vaste gebruiker
- Berichten: 75
- Lid geworden op: 03 mar 2012 19:21
- Mijn ras(sen): Rottweiler
- Aantal honden: 1
- Locatie: Zuid holland
Re: bijna bevallen
Ik ga voor 12, maar twijfel ook 12 of 13... Ben benieuwd
-
Lizzie.
- Zeer actief
- Berichten: 11584
- Lid geworden op: 24 okt 2010 19:49
- Mijn ras(sen): Poedel
Re: bijna bevallen
Ik hoop het niet voor je dat nu al de bevalling er aan zit te komen hoorelly17 schreef:balou zit vandaag op 55 dagen dus de bevalling zit er aan te komen gister rx laten maken dokter zegt 10 ik

- elly17
- Vaste gebruiker
- Berichten: 38
- Lid geworden op: 20 apr 2012 11:22
- Mijn ras(sen): bordeauxdoggen geweldige honden
- Aantal honden: 2
Re: bijna bevallen
daar bedoelde ik mee over een aantal dagen
- Browny
- Zeer actief
- Berichten: 5844
- Lid geworden op: 14 okt 2010 22:26
- Aantal honden: 5
- crutz
- Zeer actief
- Berichten: 35424
- Lid geworden op: 22 apr 2002 00:24
- Mijn ras(sen): Mechelse Herders (FCI)
- Aantal honden: 7
- Locatie: Zegveld
- Contacteer:
Re: bijna bevallen
succes straks....10-13 is in elkgeval je handen vol, maar zeker ook wel genieten...
- grover
- Zeer actief
- Berichten: 3780
- Lid geworden op: 16 jan 2011 14:35
- Mijn ras(sen): Welsh Springer Spaniel
- Aantal honden: 2
- Locatie: Bij de rotonde linksaf
- Contacteer:
Re: bijna bevallen
Poehee dat zijn er in ieder geval flink veel
Succes met de opkomende bevalling 
- HaddockandFriends
- Zeer actief
- Berichten: 2948
- Lid geworden op: 26 sep 2010 19:35
- Mijn ras(sen): Mopshond Haddock en Poolse schone Suki.
- Aantal honden: 2
- Locatie: Arnhem
- Contacteer:
Re: bijna bevallen
Ik zie er toch echt twaalf 
-
Sietske
Re: bijna bevallen
Ik tel ook 13 ruggetjes... volle tent daar!
- elly17
- Vaste gebruiker
- Berichten: 38
- Lid geworden op: 20 apr 2012 11:22
- Mijn ras(sen): bordeauxdoggen geweldige honden
- Aantal honden: 2
Re: bijna bevallen
ik hou jullie op de hoogte van de bevalling en ik zelf verwacht er ook 12 of 13 we gaan het zien ze is echt rond en kreunt en steunt de hele dag wil vaak naar buiten maar de tempratuur is netjes 38 ik ver wacht ze zelf het weekend . maar we zullen het zien
-
~Truusje~
- geregistreerd lid
- Berichten: 9
- Lid geworden op: 25 apr 2012 12:51
- Mijn ras(sen): Maltezer, duitse herder, keeshond, franse bulldog
- Aantal honden: 3
- Locatie: Denekamp
Re: bijna bevallen
Wat prachtig om te zien zo´n echo...
Leuk al die ruggetjes en schedeltjes...
Nog nooit zo´n foto gezien... heel erg bijzonder.
Ik wens je veel succes bij de bevalling van je hond en ik hoop dat alles voorspoedig zal verlopen..
Leuk al die ruggetjes en schedeltjes...
Nog nooit zo´n foto gezien... heel erg bijzonder.
Ik wens je veel succes bij de bevalling van je hond en ik hoop dat alles voorspoedig zal verlopen..
Groetjes Manon


-
kitty
- Zeer actief
- Berichten: 1895
- Lid geworden op: 22 apr 2002 00:15
- Mijn ras(sen): schapendoes
- Aantal honden: 5
- Contacteer:
Re: bijna bevallen
Wat maakt het uit hoeveel er op de foto staan, binnen een paar dagen zie je het vanzelf
Heel veel succes met de laatste loodjes!
Heel veel succes met de laatste loodjes!
-
christiane
- Zeer actief
- Berichten: 1014
- Lid geworden op: 16 mar 2007 07:54
- Mijn ras(sen): border collies
- Aantal honden: 12
- Locatie: kortessem
- Contacteer:
- elly17
- Vaste gebruiker
- Berichten: 38
- Lid geworden op: 20 apr 2012 11:22
- Mijn ras(sen): bordeauxdoggen geweldige honden
- Aantal honden: 2
Re: bijna bevallen
balou verliest sinds vanochtend eigenlijk steeds doorzichtig slijm tempratuur is 37.9 ?
- SannePP
- Zeer actief
- Berichten: 17532
- Lid geworden op: 18 mei 2008 07:54
- Mijn ras(sen): Mechelse Herder-x-Border Collie en een Kretenzer Worsthond
- Aantal honden: 1
- Locatie: Tilburg
- Contacteer:
Re: bijna bevallen
Spannend hoor! Wat een volle buik!!! Ik dacht onder de ribben nog een extra ruggengraadje te zien, maar zie er geen schedeltje bij. Ik tel dus 12 koppies en 13 ruggetjes! Succes!
RIP Cena
- Barbara1972
- Zeer actief
- Berichten: 1484
- Lid geworden op: 03 jan 2012 18:20
- Mijn ras(sen): Border Collie
- Aantal honden: 2





